O dente siso, também conhecido como terceiro molar, costuma ser motivo de preocupação para muitos pacientes. Seja pela dor, pelo inchaço ou por relatos de cirurgias complicadas, a extração do siso envolve uma série de cuidados que vão desde o diagnóstico até a recuperação completa. Por isso, é essencial compreender todas as etapas envolvidas nesse procedimento odontológico.
Antes de decidir remover o siso, é importante contar com uma avaliação profissional que leve em consideração sua posição, o impacto sobre os demais dentes e possíveis inflamações. Acompanhe neste artigo todas as informações relevantes para quem está se preparando para essa intervenção tão comum — mas que exige responsabilidade e conhecimento.
O que é o dente siso e por que ele causa problemas
Os dentes sisos são os últimos molares da arcada dentária e costumam nascer entre os 17 e 25 anos. Por serem os últimos a erupcionar, muitas vezes não há espaço suficiente na boca para acomodá-los corretamente. Isso pode causar uma série de complicações, desde dor e inflamação até o desalinhamento de outros dentes.
Entre os problemas mais comuns causados pelos sisos estão a pericoronarite (infecção da gengiva ao redor do dente), cáries nos dentes adjacentes e cistos. Esses quadros clínicos são agravados quando o siso nasce parcialmente ou de forma inclinada, o que dificulta sua limpeza e contribui para o acúmulo de bactérias.
Além disso, é frequente que os dentes sisos fiquem inclusos (sem erupcionar completamente), pressionando a raiz de outros dentes ou estruturas ósseas. Nesses casos, a extração se torna quase sempre necessária para prevenir maiores danos à saúde bucal do paciente.
Quando a extração é realmente necessária
Nem todos os sisos precisam ser removidos. Quando o dente nasce de forma adequada, com espaço suficiente e não causa dor ou outros sintomas, a extração pode ser evitada. No entanto, a avaliação de um dentista é fundamental para essa decisão, pois alguns problemas podem não ser visíveis ou percebidos pelo paciente.
A extração é indicada em casos de dor persistente, infecção, danos aos dentes vizinhos, cistos, dificuldade para higienizar a área e quando o dente está incluso ou impactado. Outro fator determinante é o risco de desalinhamento da arcada, especialmente em pacientes que realizaram ou estão realizando tratamento ortodôntico.
Muitos dentistas também recomendam a retirada preventiva dos sisos antes que causem sintomas mais sérios. Essa medida é comum principalmente em jovens adultos, cuja recuperação tende a ser mais rápida e menos complicada do que em pessoas com idade mais avançada.
Dente siso inflamado: como identificar e tratar esse problema
Tipos de extração de siso: simples ou cirúrgica
A extração do siso pode ser classificada em dois tipos: simples e cirúrgica. A extração simples ocorre quando o dente já está completamente erupcionado e acessível. Nesse caso, o procedimento é realizado com anestesia local e não requer cortes na gengiva ou remoção óssea.
Já a extração cirúrgica é indicada quando o dente está incluso, parcialmente erupcionado ou em posição desfavorável. Esse tipo de procedimento envolve incisões na gengiva, remoção de parte do osso ao redor do dente e, em alguns casos, a fragmentação do siso para facilitar a remoção.
A escolha entre os dois tipos depende da avaliação clínica e radiográfica feita pelo dentista. Ambos os procedimentos são seguros quando realizados por profissionais capacitados, mas a recuperação da extração cirúrgica costuma exigir mais cuidados e tempo de repouso.
Cirurgia bucal: tipos, preparação, cuidados e complicações
Exames e preparos antes da cirurgia de siso

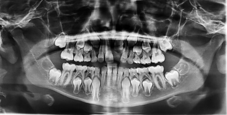
Antes da extração do siso, o dentista solicitará exames de imagem, como a radiografia panorâmica ou tomografia. Esses exames ajudam a visualizar a posição do dente, a proximidade com estruturas importantes (como nervos e seios da face) e possíveis complicações que podem surgir durante a cirurgia.
Além dos exames, é fundamental seguir orientações pré-operatórias, como jejum, caso haja sedação, uso de antibióticos profiláticos (em casos específicos), e suspensão temporária de medicamentos que possam afetar a coagulação. O dentista também avaliará o estado de saúde geral do paciente antes de aprovar o procedimento.
Manter uma boa higiene bucal antes da cirurgia, evitar álcool e cigarro nos dias anteriores e esclarecer todas as dúvidas com o profissional são passos importantes para garantir uma cirurgia tranquila e uma recuperação mais rápida.
Como é feita a remoção do siso
A remoção do siso é realizada sob anestesia local e, em alguns casos, com sedação consciente, especialmente quando o paciente apresenta ansiedade. O dentista inicia o procedimento com a higienização da área, seguido da aplicação da anestesia. Quando necessário, realiza-se uma incisão na gengiva e a remoção de parte do osso para expor o dente.
Em casos mais complexos, o siso pode ser dividido em partes menores para facilitar a retirada. Após a remoção completa, o local é limpo e suturado para permitir a cicatrização. O procedimento pode durar de 20 minutos a mais de uma hora, dependendo da complexidade.
Após a cirurgia, o paciente recebe orientações específicas sobre cuidados com alimentação, higiene bucal e uso de medicamentos para controle da dor e inflamação. O retorno para retirada dos pontos e avaliação do processo de cicatrização é agendado de acordo com a orientação profissional.
Dúvidas frequentes respondidas por especialistas
Uma das principais dúvidas dos pacientes é sobre o nível de dor durante e após a extração do siso. Graças ao uso de anestésicos modernos e analgésicos eficazes, o procedimento é indolor, e a dor pós-operatória pode ser bem controlada com medicação prescrita pelo dentista.
Outra pergunta comum é quanto tempo leva para a recuperação. Em média, a cicatrização inicial ocorre em até 7 dias, mas a recuperação completa pode levar algumas semanas. Durante esse período, é essencial evitar alimentos duros, prática de atividades físicas intensas e exposição ao calor excessivo.
Muitos também se perguntam se todos os sisos devem ser removidos de uma vez. A resposta depende da avaliação clínica: alguns profissionais optam por extrair todos de uma vez, especialmente sob sedação, enquanto outros preferem remover em etapas para facilitar a recuperação. O ideal é sempre seguir a recomendação de um especialista com experiência no assunto.
Conclusão
A extração do siso é um procedimento seguro e comum, mas exige preparo, acompanhamento e cuidados adequados para evitar complicações. Com as informações certas e a escolha de um profissional experiente, é possível passar por essa etapa com tranquilidade e garantir a saúde bucal a longo prazo.
Se você está sentindo desconforto, tem dúvidas sobre seus sisos ou precisa de uma avaliação especializada, agende sua consulta no Instituto Siguimi Tanigute. Com mais de 30 anos de tradição e excelência em odontologia, oferecemos o atendimento humanizado e profissional que você merece. Cuide do seu sorriso com quem entende!